VALORACION ORTODONCIA ORTOPEDIA NIÑOS
VALORACION ORTODONCIA ORTOPEDIA NIÑOS
Iva incluido
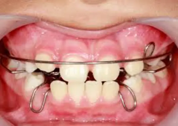
Es una evaluación de las deficiencias o excesos de crecimiento de los maxilares, problemas de espacio para la erupción de los dientes y hábitos orales dañinos. Sirve para determinar qué tipo de tratamiento se puede realizar para prevenir problemas como malas oclusiones, apiñamiento dental, extracciones de dientes definitivos y orientar las funciones básicas del niño, como la respiración, el habla y la postura de la cabeza. Para corregir estas alteraciones, se utilizan aparatos fijos o removibles que se apoyan en los dientes, músculos y huesos. La elección de uno u otro debe ir en función de la patología de cada paciente.
100
Recuerda: Antes de realizar el pago, revisa los Términos y Condiciones y asegúrate de contactar al vendedor para resolver tus dudas.
Productos sugeridos

$ 1.500.000
Iva Incluido
Stock: 99

$ 600.000
Iva Incluido
Stock: 99